テトラサイクリン歯の実績〜ここまで変化する〜
テトラサイクリン歯はお悩みの方も多い歯の変色の一つです。
変色が重度の方の中には、「若い頃からずっと気になっていた」と仰られる方も多くおられます。
テトラサイクリン歯はホワイトニングでは改善できない
そう思っている方もおられますが、テトラサイクリン歯はホワイトニングで改善するケースもあります。
パールホワイトニングでは、年間に100名以上のテトラサイクリン歯の方にご来院頂いておりますが、当院でのホワイトニング効果を実感し、喜んでくださっています。
【百聞は一見にしかず】だと思いますので、テトラサイクリン歯の実際の症例についてご紹介させて頂きます。
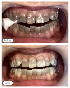
CASE1

グレー色が強い重度のテトラサイクリン歯の方です。線状に少し横線が残りますが、全体的に歯がかなり明るくなりました。
治療:デュアルホワイトニング2ヶ月コース
オフィスホワイトニング4回
ホームホワイトニング2ヶ月
歯のクリーニング1回
パールラボ・トゥースケアの使用
2ヶ月でここまで改善しています。さらに1ヶ月程度継続して頂くと、グレーの部分がもう少し薄くなることが期待できます。
CASE2

このケースもグレー色の強いテトラサイクリン歯ですが、変色が和らぎ、全体的にトーンアップしています。
治療:デュアルホワイトニング3ヶ月コース
オフィスホワイトニング6回
ホームホワイトニング3ヶ月
歯のクリーニング1回
パールラボ・トゥースケアの使用
3ヶ月の集中ケアでグレー色がかなり改善されています。パールラボ・トゥースケアの使用で歯の表面に光沢感もプラスされています。
CASE3

黄ばみ+グレー色が混ざったタイプのテトラサイクリン歯です。このケースもホワイトニングでかなりの改善が見られています。
治療:デュアルホワイトニング3ヶ月コース
オフィスホワイトニング6回
ホームホワイトニング3ヶ月
歯のクリーニング1回
パールラボ・トゥースケアの使用
長年、テトラサイクリン歯で悩んでおられ、ラミネートベニヤでの治療も検討されていた方ですが、当院のHPをみてご来院してくださいました。
ホワイトニングで改善できたことにお喜び頂いた事はもちろんですが、治療費もラミネートベニヤで全体的に補修することに比べると5分の1程度の金額ですんだと喜んでくださっていました。
テトラサイクリン歯を当院で改善されている方がたくさんおられます。
また、パールホワイトニングは、女性歯科医師が主体となったクリニックですので、痛みへ対応や口腔内の状況を考慮してお客様に合うホワイトニング方法をご提案させて頂いております。
ホワイトニングが初めてで何から始めたら良いか不安な方は、まずはカウンセリングでのご来院を頂くことも可能です。カウンセリングで現状把握やホワイトニングのイメージをつけて頂いた上で、ご理解・ご納得を頂きホワイトニングを受けて頂けます。
ご質問などございましたら、お問い合わせフォームよりご連絡頂けますと幸いです。
ご来院、心よりお待ちしております。
コラム執筆者
パールホワイトニング
院長 歯科医師 田中久弓
済生会中津病院口腔外科勤務後、一般歯科医院にて診察を行う。2017年からホワイトニングサロンBeauteでホワイトニング専門歯科医師として勤務。2019年にパールホワイトニングを開院し、「ホワイトニングが当たり前の世の中にする」ために活動しています。